• زبان
    • English
    • العربية
  • 0
مادر و کودک گوپي | برنامه کودک| کودک Iگوپی Iفروشگاه اینترنتیgoopi.irI
  • صفحه اصلی
  • عکاسخانه گوپی
    • آلبوم عکس کودکان
    • ایده عکس بارداری
    • دکوراسیون اتاق کودک
    • ایده عکس کودک در خانه
    • ایده عکس ماهگرد تولد
    • جشن و شادی‌ها
      • ایده جشن تعیین جنسیت
      • جشن دندونی
      • جشن قدم
    • تزیین غذای کودک
    • ایده عکس مادر و کودک
    • جشنواره دوقلوها
    • مد و زیبایی فرزند
      • لباس
        • دخترانه
        • پسرانه
    • کاتالوگ ها و بروشورها
  • دانشکده گوپی
    • مد و زیبایی
      • دکوراسیون
      • دکوراسیون اتاق کودک
        • سیسمونی
      • پوشاک کودک
    • خانه و خانواده
      • زنان
      • کودک و نوجوان
    • علوم پزشکی
      • بهداشت روان
      • دارو و درمان
      • بیماری‌ها
      • تغذیه و رژیم
    • تعیین جنسیت کودک قبل از بارداری
      • دخترزایی
      • پسرزایی
      • دوقلو زایی
    • تربیت کودک
    • پرورش خلاقیت کودکان
    • بیماری های کودک
    • مادر
      • قبل از تولد
      • بارداری
      • بعد از تولد
    • تغذیه کودک
    • روانشناسی
      • روانشناسی
      • تست هوش کودک
      • روانشناسی رنگ‌ها در کودک
      • روانشناسی نقاشی کودکان
      • گفتار درمانی
    • آشپزی با کودکان
    • تقویم نجومی
  • کتابخانه گوپی
    • کودک
      • داستان
      • شعر
      • داستان صوتی
    • نوجوان
    • بزرگسال
      • رمان
      • تربیت کودکان
      • زناشویی و عاشقانه
  • داستان گوپی
  • دانلود اپلیکیشن
ورود به سايت ثبت نام در سايت
تعداد کل
0 محصول
ادامه خرید
پرداخت

مقالات

  1. صفحه ی اصلی مقالات
پارگی منیسک زانو

1399/2/12

پارگی منیسک زانو

منیسک یک قطعه بافت فیبری C شکل از جنس غضروف است که در برخی مفصل ها وجود دارد وبعنوان حایل بین استخوانها و محافظ مفصل عمل می کند. منیسک همچنین بعنوان یک سیستم جاذب ضربه عمل می کند،به روان سازی مفصل کمک...

انژین صدری چیست و چگونه با آن برخورد کنیم؟

1399/2/12

انژین صدری چیست و چگونه با آن برخورد کنیم؟

آنژین صدری علامت واضح بیماری قلبی است که همان درد قفسه سینه ناشی از بیماری عروق کرونر قلب است . این درد به علت کمبود اکسیژن قلب ایجادمی شود که میتواند به علت تنگی عروق کرونر یا اسپاسم این عروق ایجاد شود...

بیماری روزاسه

1399/2/12

بیماری روزاسه

آکنه روزاسه (آکنه دوران بزرگسالی ) عبارت است از التهاب مزمن پوست صورت (معمولاً; گونه ها و بینی ). این بیماری معمولاً; بین 50-30 سالگی بروز می کند و در خانمها شایعتر از آقایان است ، اما در...

ترشحات مهبلی چیست؟-مجله مادر و کودک گوپی

1399/2/12

ترشحات مهبلی چیست؟-مجله مادر و کودک گوپی

به طور طبیعی این ترشحات روشن یا سفید هستند.در حین تخمک گذاری (حدود 2هفته پس ازقاعدگی) ممکن است این ترشحات چسبناک و لغزنده شوند. تغییر در رنگ و میزان ترشح همراه با سایر نشانه های آن می تواند بیانگر این...

نشانگان روده تحریک پذیر چیست؟-مجله مادر گوپی

1399/2/12

نشانگان روده تحریک پذیر چیست؟-مجله مادر گوپی

نشانگان روده تحریک پذیر یا به اختصار IBS مشکلی است که عمدتاً; روده بزرگ را تحت تأ;ثیر قرارمی دهد. روده بزرگ بخشی از دستگاه گوارش است که مدفوع را ساخته و ذخیره می نماید. کلمه نشانگان سندرم به معنای گروهی...

خرخر کودکان در خواب-مجله مادر کودک

1399/2/12

خرخر کودکان در خواب-مجله مادر کودک

در هنگام سرماخوردگی ، کودکان نیز درست مانند افراد بزرگسال به شکلی گذرا دچار خرخر کردن در خواب می شوند. این حالت پس از پایان بیماری خود به خود از بین می رود و اساسا خطری متوجه کودک نخواهد بود. اما خرخر...

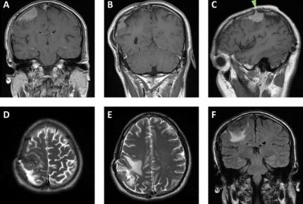
معرفی یک مورد مننژیوم بدخیم مغزی با متاستاز مهره کمری

1399/2/12

معرفی یک مورد مننژیوم بدخیم مغزی با متاستاز مهره کمری

مننژیوم تومور عمدتا خوش خیم سیستم عصبی مرکزی است که حدود 18 درصد تومورهای داخل جمجمه را تشکیل می دهد. حدود 5 درصد تومورهای مننژیوم بدخیم بوده که اغلب در ناحیه سوپراتنتوریال قرار دارند.

بیماری کزاز

1399/2/12

بیماری کزاز

کزاز میکروب خاصی است که در انتهای آن اسپور وجود دارد ( سنجاق مانند ) در محیط خارج مقاومت زیادی از خون نشان می دهد و اسپوری تولید می کند که مقاومتش خیلی زیادتر است . اثرات میکرب بواسطه سم بسیار قوی است...

آلرژی بینی

1399/2/12

آلرژی بینی

آلرژی بینی آلرژیهای بینی در نتیجه برخورد ذرات آلرژی زا با سلولهای دیواره بینی برخورد می کنند و در این حالت ابتدا ذرات آلرژی وارد بینی می شوند. ذرات آلرژی زا عبارت از گروههای گیاهان، گرد و غبار، کپک ها...

تب-مجله مادر و کودک گوپی

1399/2/12

تب-مجله مادر و کودک گوپی

تب به خودی خود بیماری نیست بلکه نشانه ای از یک بیماری است.

موارد جنینی سقط درمانی-مجله مادرگوپی

1399/2/12

موارد جنینی سقط درمانی-مجله مادرگوپی

بیماری های جنینی که در صورت اثبات ابتلا اجازه سقط صادر می شود

سنـدرم اسـکلتـی Camurati Engelmann-مجله مادر کودک

1399/2/12

سنـدرم اسـکلتـی Camurati Engelmann-مجله مادر کودک

بیماری Camurati Engelmann یک سندرم Developmental اسکلتی است که به وسیله پهن شدن دوکی شکل دیافیز استخوان;های دراز و تشکیل استخوانهای جدید در پریوست و آندوستنال و بدون درگیری اپی;فیزومتافیز بروز می;کند.

کلیه هایی که سنگ می سازند-مجله مادر و کودک گوپی

1399/2/12

کلیه هایی که سنگ می سازند-مجله مادر و کودک گوپی

درد امانش را بریده بود. به زمین و زمان چنگ می زد و صدای فریادهایش به آسمان بلند شده است.هرگز گریه او را ندیده بودم اما این بار از درد به خود می پیچید و گریه می کرد. دکتر بیماریش را سنگ کلیه تشخیص داده...

میگرن

1399/2/12

میگرن

میگرن نوعی از انواع سردرد است که به صورت متناوب و عودکننده بوجود می آید و ممکن است یک طرفه یا دوطرفه باشد

حاملگی نابجا یا اکتوپیک-مجله مادرو کودک گوپی

1399/2/12

حاملگی نابجا یا اکتوپیک-مجله مادرو کودک گوپی

حاملگی نابجا زمانی رخ می دهد که تخم بارور درمحلی غیر از رحم کاشته شود و جفت و جنین در آنجا شروع به تکامل کنند

کودکانی که از باقلا محرومند-مجله مادر گوپی

1399/2/12

کودکانی که از باقلا محرومند-مجله مادر گوپی

آشنایی با عوامل زمینه ساز فاویسم و راه های مقابله با آن

چرا جوانان دچار زانو درد می شوند؟-مجله مادر گوپی

1399/2/12

چرا جوانان دچار زانو درد می شوند؟-مجله مادر گوپی

گفت وگو با دکتر محمدرضا هادیان، فیزیوتراپ

مروی کلی بر بیماریهای خواب-مجله مادر گوپی

1399/2/12

مروی کلی بر بیماریهای خواب-مجله مادر گوپی

در 35 سال گذشته با مشخص شدن اختلالات تنفسی خواب و نقش آن در اختلالات عصبی و رفتاری روزانه و خواب آلودگی روزانه بیمار و بویژه عوارض قلبی و عروقی آن، همچنین روشن شدن کارایی دستگاه سی پپ ( CPAP) که با ایجاد...

طیف جهش های ژن کانکسین 26 در جمعیت ناشنوایان غیر سندرمیک استان همدان

1399/2/12

طیف جهش های ژن کانکسین 26 در جمعیت ناشنوایان غیر سندرمیک...

ناشنوایی یکی از شایعترین نقص های حسی عصبی در انسان می باشد که از هر 1000 کودک یک نفر به آن مبتلا می شود. بر اساس منابع موجود بیش از نیمی از موارد اختلال ناشنوایی جنبه ارثی دارند.

گوجه سبز در دالان تنفس

1399/2/12

گوجه سبز در دالان تنفس

هم خوراکی های مختلف و هم مواد غیرخوراکی در دسترس، ممکن است باعث بسته شدن راه تنفسی شوند که به ویژه در مورد کودکان، که هر چیزی را ممکن است به دهان ببرند، شیوع بیشتری دارد.

آیا تبخال درمان دارد؟

1399/2/12

آیا تبخال درمان دارد؟

تاول های دردناک...

چگونه از سکته قلبی جان سالم در ببریم

1399/2/12

چگونه از سکته قلبی جان سالم در ببریم

سکته قلبی یک علامت است. و از آنجا که بسیاری از مردم هنگام دچار شدن به سکته قلبی تنها هستند اغلب پزشکان توصیه می کنند که این افراد قبل از آن که از حال بروند با انجام چند اقدام ساده خود را از مرگ احتمالی...

خسته از کم خونی

1399/2/12

خسته از کم خونی

کم خونی ناشی از فقرآهن از شایع ترین نوع بیماری کم خونی است. فقر آهن زمانی بروز می کند که بد ن فاقد آهن کافی است. بد ن برای ساختن هموگلوبین به آهن نیاز د ارد .

سوزاک ( التهاب گنوکوکی مجرای ادراری )

1399/2/12

سوزاک ( التهاب گنوکوکی مجرای ادراری )

سوزاک عبارت است از یک بیماری عفونی در دستگاه تناسلی که از راه آمیزشی منتقل می شود

penile fracture

1399/2/12

penile fracture

شاید شکستگی مناسب ترین واژه برای این حادثه نباشد : در آلت تناسلی استخوانی وجود ندارد که بشکند یا نشکند

دیابت در سالمندان

1399/2/12

دیابت در سالمندان

نشانه های بیماری دیابت در سالمندان کمتر از افراد کم سال مشهود است . سالمندان معمولاً; دچار تشنگی شدید یا افزایش و تکرار ادرار نیم شوند . اما ممکن است بی حال و مریض احوال باشند و یا علی رغم اشتهای طبیعی...

علل بروز سنگهای صفراوی

1399/2/12

علل بروز سنگهای صفراوی

سنگهای ساده کلسترولی را می توان در بیماران زیادی با دادن 5/1- 1 گرم اسیدی از روزانه بمدت یک تا دو سال حل کرد. این ماده یکی از اسیدهای صفراوی است که به طور طبیعی ترشح می شود و تجویز آن از خارج به منبع روده...

زوال قدرت شنوایی چیست؟

1399/2/12

زوال قدرت شنوایی چیست؟

از بـین رفـتن و زوال شنوایی به کاهش ناگهانی یا تدریجـی قدرت شنوایی گفته میشود. برحسب دلیل آن، این مشکل می تواند خفـیف تا حاد و همچنین برگشت پذیر، موقتی یا دایمی باشد.

آسکاریازیس

1399/2/12

آسکاریازیس

آلودگی به انگلهای روده ای و از جمله کرم آسکاریس یکی از مشکلات بهداشتی در کشورهای در حال توسعه می باشد و در حال حاضر سالیانه 1 تا 2 میلیارد نفر از مردم جهان به این بیماری مبتلایند و از این تعداد حداقل 20...

شایع ترین علل ایجاد لک صورت

1399/2/12

شایع ترین علل ایجاد لک صورت

ملاسما یکی از شایع ترین علل ایجاد لک صورت است و اغلب در خانم های مراجعه کننده برای درمان لک صورت دیده می شود که یک لک اکتسابی قهوه ای رنگ است که به صورت آهسته به وجود می آید.

  • «
  • 45
  • 46
  • 47
  • 48
  • 49
  • 50
  • 51
  • 52
  • 53
  • »
گروههای مقالات
  • مد و زیبایی
    • دکوراسیون
    • دکوراسیون اتاق کودک
      • سیسمونی
    • پوشاک کودک
      • یک تا شش ماه
      • شش ماهه تا یکساله
      • یک تا سه ساله
      • سه تا شش ساله
      • شش تا ده ساله
      • نوجوان
  • علوم پزشکی
    • بهداشت روان
    • دارو و درمان
    • بیماریها
    • تغذیه و رژیم
  • خانه و خانواده
    • زنان
    • کودک و نوجوان
  • تربیت کودک
  • تعیین جنسیت کودک
    • دخترزایی
    • پسرزایی
    • دوقلوزایی
  • پرورش خلاقیت کودکان
  • مراقبت های سه گانه بارداری
    • قبل از تولد
    • بارداری
    • بعد از تولد
  • بیماری های کودک
  • تغذیه کودک
  • روانشناسی
    • روانشناسی
    • تست هوش کودک
    • روانشناسی رنگ‌ها در کودک
    • روانشناسی نقاشی کودکان
    • گفتار درمانی
  • آشپزی با کودکان
  • تقویم نجومی روزانه
تابلو آسمان شب
آخرین مقالات
  • 11 12 اسکاچ بافتنی : راهنمای خرید عمده (09374332292)
  • 1 2 تقویم نجومی 1403 + سالنامه نجومی امسال
  • 8 7 تقویم نجومی امروز هفتم آبان ماه ۱۴۰۱...
  • 8 6 تقویم نجومی امروز ششم آبان ماه سال ۱۴۰۱...
  • 8 6 تقویم نجومی روزانه _ پنجم آبان ماه ۱۴۰۱
برچسب ها
  • دانلود رایگان کتاب pdf
  • دانلود رایگان کتاب قورباغه را قورت بده
  • دانلود رایگان رمان بادیگارد pdf
  • دانلود رایگان کتاب شازده کوچولو
  • دانلود رایگان کتاب بیشعوری pdf
  • دانلود رمان شاه شطرنج pdf
  • دانلود رایگان کتاب شازده کوچولو pdf
  • دانلود رایگان رمان زیتون pdf
  • دانلود رایگان کتاب اثر مرکب pdf
  • دانلود رایگان رمان شب برهنه pdf
  • دانلود رایگان کتاب خودت باش دختر pdf
  • دانلود رایگان کتاب ملت عشق pdf
  • مادر
  • دانلود رایگان کتاب
  • مجله کودک گوپی
  • کودک
  • مجله مادر و کودک گوپی
  • دانلود رایگان کتاب بابا لنگ دراز pdf
  • دانلود رایگان قصه های شاهنامه pdf
  • دانلود رایگان کتاب چه کسی پنیر مرا جا به جا کرد
لینک های سریع
  • خانه
  • فروشگاه
  • اخبار روز
  • وبلاگ
  • کتابخانه گوپی
  • عکاسخانه
  • تقویم نجومی
  • سوالات متداول
  • درباره ما
  • تماس با ما
دانلود رمان‌های پربازدید
  • دانلود رایگان رمان کنت مونت کریستو (pdf)...
  • دانلود رایگان کتاب شاه گوش میکند اثر...
  • دانلود رایگان کتاب زندگی پدرم اثر چارلی...
  • دانلود رایگان کتاب دوست خانواده اثر...
  • دانلود رایگان کتاب دوست داشتم کسی جایی...
ثبت در خبرنامه

برای ثبت در خبرنامه لطفا تلفن همراه خود را وارد نمایید:

copyright © 2020 powered by www.rashinweb.com
  • سبد خرید
  • home icon درباره‌ما
  • اپلیکیشن
  • خانه